找回密码
 注册

微信登录,快人一步

QQ登录

只需一步,快速开始

楼主: 初学者

生物被膜

  [复制链接]
 楼主| 发表于 2009-2-25 09:27 | 显示全部楼层
回复

使用道具 举报

发表于 2009-2-25 09:32 | 显示全部楼层
铜绿生物膜2.jpg 铜绿生物膜3.jpg 铜绿生物膜4.jpg
回复

使用道具 举报

发表于 2009-2-25 09:36 | 显示全部楼层

回复 #22 巴斯德之徒 的帖子

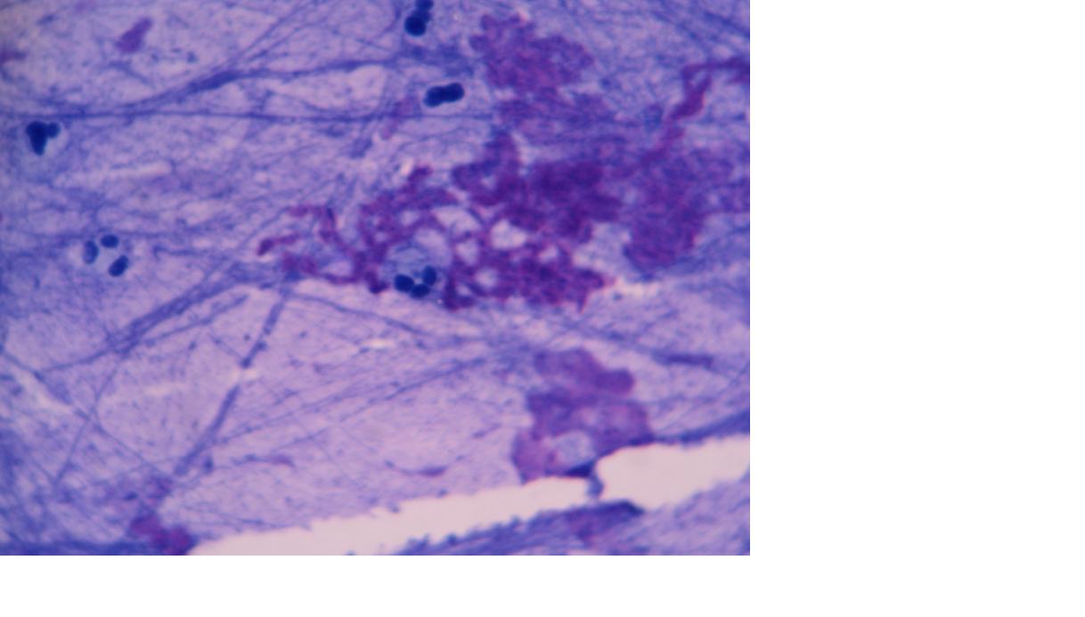
上面发的图片均是来自一株粘液型铜绿形成的生物膜,虽然胞外结构非常厚重,但是细菌的模样还是能勉强辨认出看来的。

由于该菌产生的藻酸盐粘液质具有弱抗酸性,为了突出生物膜,所以这里都是采用抗酸染色的。

[ 本帖最后由 巴斯德之徒 于 2009-2-25 10:01 编辑 ]
回复

使用道具 举报

 楼主| 发表于 2009-2-25 09:42 | 显示全部楼层
卡氏肺孢子虫?背景不绿呀?:lol
能告知环六氨银染色法的染色试剂及方法吗?我没查到!多谢巴版了!在这给您鞠躬了!:lol

[ 本帖最后由 初学者 于 2009-2-25 09:50 编辑 ]
回复

使用道具 举报

 楼主| 发表于 2009-2-25 09:44 | 显示全部楼层
原帖由 巴斯德之徒 于 2009-2-25 09:36 发表
上面发的图片均是来自一株粘液型铜绿形成的生物膜,虽然保外结构非常厚重,但是细菌的模样还是能勉强辨认出看来的。

由于该菌产生的藻酸盐粘液质具有弱抗酸性,为了突出生物膜,所以这里都是采用抗酸染色的。

又学了一招!再次给您鞠躬!:lol您这标本来源是?

[ 本帖最后由 初学者 于 2009-2-25 10:06 编辑 ]
回复

使用道具 举报

发表于 2009-2-25 10:07 | 显示全部楼层

回复 #24 初学者 的帖子

【六胺银染色法】
用于卡肺孢子虫的染色。
[试剂]
Ⅰ 2% 铬酸        氧化铬                                              10.0 g
                        蒸馏水                                           500.0 ml
混合,溶液有效期6 个月
Ⅱ 1% 亚硫酸钠    亚硫酸钠                                            5.0g
                          蒸馏水                                          500.0 ml
混合,溶液有效期6 个月
Ⅲ 5% 硫代硫酸钠  硫代硫酸钠                                       5.0 g
                            蒸馏水                                       100.0 ml
混合,溶液有效期3 个月
Ⅳ 乌洛托品银储存液 3%乌洛托品(六亚甲基四胺)         100.0 ml
                              5% 硝酸银                                   5.0 ml
混合,保存在耐酸的棕色瓶内,4 ℃冰箱冷藏溶液有效期3 个月
Ⅴ 0.5% 氯化金     氯化金                                             0.5 g
                           蒸馏水                                           100 ml
混匀,保存在耐酸的瓶中,冷藏.有效期1 年
Ⅵ 0.2% 亮绿       黄色淡绿SF                                        0.2 g
                              蒸馏水                                       1000 ml
                              冰醋酸                                         0.2 ml
混匀,有效期6 个月

工作溶液:         Ⅳ液                                                 25.0 ml
                        蒸馏水                                              25.0 ml
                        5% 硼砂溶液                                       2.5 ml
使用前混合,使用后丢弃
[使用方法]
1)  在Ⅰ液中氧化1 h(病理组织标本需要事先脱蜡);
2)  用自来水清洗;
3)  滴加Ⅱ液室温中浸润1min;
4)  用蒸馏水清洗3 次;
5)  水浴中预热六胺银染色工作溶液至56 ℃ ,滴加工作液染色,并摇动玻片直到涂膜颜色变暗黄色或灰色;
6)  蒸馏水冲洗2 次;
7)  滴加Ⅴ液,覆盖1 min,直到玻片内容物变褐色;
8)  蒸馏水冲洗;
9)  滴加Ⅲ液,覆盖3 min;
10) 蒸馏水冲洗;
11) 滴加Ⅵ液,染色1min;
12) 蒸馏水冲洗;
13) 在无水酒精中脱水干燥,后上显微镜镜检。
卡氏肺孢子虫染为黑色,背景绿色或蓝绿色。
[质量控制]
如果Ⅰ液变成褐色需要重新配制;如果菌体没有变成黑色 检查Ⅰ、Ⅱ、Ⅲ液是否过期;一般工作液需要临时配制,如果配好的工作银液在应用时,玻片上变成云雾状或成镜状 应重新配制。

[ 本帖最后由 巴斯德之徒 于 2009-2-25 10:12 编辑 ]
回复

使用道具 举报

 楼主| 发表于 2009-2-25 10:09 | 显示全部楼层

回复 #26 巴斯德之徒 的帖子

多谢巴版!一定好好学习!
回复

使用道具 举报

发表于 2009-3-3 22:19 | 显示全部楼层
不错,既增长了见识又澄清了认识,谢谢楼主和巴版!:cool
回复

使用道具 举报

头像被屏蔽
发表于 2009-5-4 21:36 | 显示全部楼层
提示: 作者被禁止或删除 内容自动屏蔽
回复

使用道具 举报

 楼主| 发表于 2009-5-4 21:46 | 显示全部楼层
谢谢您的讲解!:handshake
回复

使用道具 举报

发表于 2009-5-4 22:14 | 显示全部楼层

回复 #1 deepdog 的帖子

内镜如果不用酶液清洗,管径内是否有生物膜?
回复

使用道具 举报

发表于 2009-5-4 22:45 | 显示全部楼层

回复 #1 deepdog 的帖子

临床常见的粘液型细菌一般比较容易产生”生物被膜“!这给临床感染性疾病的治疗带来很大困难!研究认为:大环内酯类、藻酸盐单克隆抗体能够将其破环或增加渗透性!临床常见的”生物被膜病如肺囊性纤维化、弥漫性泛细支气管炎”等可以小剂量应用大环内酯类加上敏感药物治疗“细菌生物被膜相关感染!!!:handshake
回复

使用道具 举报

发表于 2009-5-4 23:19 | 显示全部楼层
谢谢deepdog老师为我们带来这方面的知识,期待您的研究心得与大家分享!
回复

使用道具 举报

发表于 2009-5-5 20:44 | 显示全部楼层

回复 #1 deepdog 的帖子

谢谢!长知识了:victory: :handshake
回复

使用道具 举报

发表于 2009-5-5 20:50 | 显示全部楼层
谢谢deepdog老师为我们带来这方面的知识,临床常见的粘液型细菌一般比较容易产生”生物被膜“版主的话使我想到平时做到的肺克,绿脓尤其是那种粘液型的绿脓仪器做药敏很难做好.也就因生物被膜影响吧?
回复

使用道具 举报

头像被屏蔽
发表于 2009-5-6 15:40 | 显示全部楼层
提示: 作者被禁止或删除 内容自动屏蔽
回复

使用道具 举报

头像被屏蔽
发表于 2009-5-6 16:36 | 显示全部楼层
提示: 作者被禁止或删除 内容自动屏蔽
回复

使用道具 举报

发表于 2009-5-10 23:46 | 显示全部楼层
雨中送伞。多谢deepdog 老师的详细讲解,很需要这方面的知识。
回复

使用道具 举报

发表于 2009-5-12 17:30 | 显示全部楼层
很好的也很全面的有关生物被膜的知识,谢谢
回复

使用道具 举报

发表于 2009-6-4 11:06 | 显示全部楼层
谢谢分享生物被膜的知识
回复

使用道具 举报

您需要登录后才可以回帖 登录 | 注册 |

本版积分规则

关闭

站长推荐上一条 /1 下一条

快速回复 返回顶部 返回列表