找回密码
 注册

微信登录,快人一步

QQ登录

只需一步,快速开始

楼主: gjs661

紧急求助——82岁老岳父发热1个月(第87楼有更新)

 火... [复制链接]
发表于 2009-5-10 20:23 | 显示全部楼层
之前没有关注这个帖子,抱歉!
仔细阅读病史资料和CT,我觉得两肺粟粒结核要高度怀疑。
建议:
1、做高分辨CT;
2、病初可以考虑肺活检,现在估计没有办法承受;
3、血液结核菌培养(不知道你们那里有这种培养基吗?)
4、反复痰结核菌培养和抗酸杆菌检查,尤其是带血丝的痰;
5、诊断性抗结核治疗
6、加强营养支持,血浆白蛋白现在太低了;
7、尽量不要糖皮质激素冲击治疗
8、除外真菌感染,包括肺隐球菌感染,可以做隐球菌血清乳胶试验(不知道你们那里有这种试验吗?)

评分

参与人数 1 +15 威望 +2 收起 理由
gjs661 + 15 + 2 谢谢老大!

查看全部评分

回复

使用道具 举报

发表于 2009-5-11 14:41 | 显示全部楼层
胡教授的思路真好。
回复

使用道具 举报

发表于 2009-5-11 15:20 | 显示全部楼层
今天分别请呼吸、结核、感染及临免专家看病人的相关资料,包括影像学检查,认为免疫系统所致的发热、肺部继发肺泡炎可能性极大,故建议查免疫全套等;目前结核可能性不大;可请贵院临免科根据病人情况可给与激素及其它抗免疫治疗、加强支持治疗。并仔细查看该病人是否有关节红肿疼、双肺有无Vecro、杵状指(趾)等的表现。

评分

参与人数 1 +9 威望 +1 收起 理由
gjs661 + 9 + 1 谢谢桃版,让您费心了!

查看全部评分

回复

使用道具 举报

 楼主| 发表于 2009-5-11 22:50 | 显示全部楼层
昨天我们影像科主任说由于12天前在齐鲁医院的肺部CT无确切改变,所以不考虑肺结核。
但我们感染病科老主任认为粟粒性肺结核可能性大。
今天带四次肺CT片到市医院,影像科4~5个主任都认为不考虑粟粒性肺结核。主要理由是在3月19日、4月2日、4月27日的CT片没有见到确切异常(肺结核)影像。影像科主任们建议找呼吸内科主任,呼吸内科主任认为首先考虑粟粒性肺结核。
目前的焦点是在粟粒性肺结核还是自身免疫性疾病的肺部改变。前者抗结核治疗,糖皮质激素相对禁忌。而后者需要糖皮质激素冲击。

另外有一项检查结果我在病历资料上没提及:5月9日。曾做心脏彩超肺动脉压增高40mmHg。
我们呼吸内科主任认为在粟粒性肺结核无法解释肺动脉压增高。是否血小板减少也不好解释。
桃版建议做免疫全套。风湿十一项做过都是阴性。
回复

使用道具 举报

发表于 2009-5-12 09:48 | 显示全部楼层
1、粟粒性肺结核当然不会致肺动脉压增高啊,可能老人既往有COPD、早期肺心病或其它原因所致的肺动脉压增高,40mmHg也不比正常高多少啊。目前这不是病人的主要问题,2、既然已经诊断性抗痨治疗了,在抗痨治疗下给与激素治疗不会引起结核的进展,这不矛盾的啊;3、因为目前自身免疫性疾病实验室尚无依据,可以正规用激素冲击治疗吗?需要冒一定风险;具体的措施我已在短信中告诉海版了;4、在抗痨治疗下,需注意保护肝功、肾功,密切随访肝、肾功能;5、至于血小板数量一直较低,如果无出血等,考虑实验室的原因或骨髓结核??需随访;6、目前需加强支持治疗(白蛋白低,已有水肿 了)

评分

参与人数 1 +9 收起 理由
gjs661 + 9 再次感谢

查看全部评分

回复

使用道具 举报

发表于 2009-5-12 09:50 | 显示全部楼层
以上仅是桃子的个人意见哈:P,仅供参考,期待着老人家早日康复
回复

使用道具 举报

发表于 2009-5-12 09:55 | 显示全部楼层
补充下:5月9日胸部CT:似乎已见双下肺胸腔积液了,鉴于目前有下肢水肿,肝功示:白蛋白低,应注意多浆膜腔积液(漏出液可能大?),需注意!
回复

使用道具 举报

 楼主| 发表于 2009-5-12 21:17 | 显示全部楼层
这几天的治疗:
5月9日甲强龙80mg,异烟肼、左氧氟沙星静脉点滴,利福喷丁、乙胺丁醇口服。
5月10日甲强龙160mg,异烟肼、左氧氟沙星静脉点滴,利福喷丁、乙胺丁醇口服。
5月11日甲强龙80mg,异烟肼、利福霉素静脉点滴,乙胺丁醇口服。静滴复方氨基酸。
5月12日甲强龙80mg,异烟肼、利福霉素静脉点滴,乙胺丁醇口服。静滴白蛋白、脂肪乳。

自治疗第二天,咳嗽逐渐减轻,原来咳嗽时的白色黏痰减少,精神状态好转,食欲有所增加。
回复

使用道具 举报

发表于 2009-5-12 22:25 | 显示全部楼层
异烟肼、利福霉素为何静脉点滴?:o左氧氟沙星静脉注射没用了吗?有抗结核作用啊
回复

使用道具 举报

 楼主| 发表于 2009-5-12 22:45 | 显示全部楼层
69# 桃子妖妖

感染病科老主任的意见,静脉使用异烟肼、利福霉素疗效比口服好。
左氧氟沙星为抗结核二线药物,并且以前已经使用过。所以综合专家的意见停用了。由于年纪大,且已经有老年性耳聋,所以没用链霉素。
明天查肝功,如无肝功损害,加用吡嗪酰胺片口服。

抗结核治疗我没有一点经验。:'(
回复

使用道具 举报

发表于 2009-5-14 22:49 | 显示全部楼层
氟喹诺酮可作为抗痨药使用。近年来西方研究人员发现,几个新上市的氟喹诺酮类抗菌药能有效抑制结核杆菌的繁殖,并加快肺部空洞的愈合。能用于抗痨的氟喹诺酮类药物包括:左氧氟沙星、莫西沙星与吉米沙星等。若是将上述氟喹诺酮类抗菌剂与利福霉素类抗痨药配伍使用则可大大缩短结核病的治疗过程。
摘自:附件

临床研究发现老药的一些抗感染新用途.doc (22.5 KB, 下载次数: 27)

评分

参与人数 2 +15 收起 理由
楚楚 + 5 热心
gjs661 + 10 谢谢提供信息

查看全部评分

回复

使用道具 举报

发表于 2009-5-15 17:56 | 显示全部楼层
可是这还有一篇喹诺酮类药物的配伍禁忌,专家给主意吧!!

喹诺酮类药物的配伍禁忌  .doc (10.5 KB, 下载次数: 7)
回复

使用道具 举报

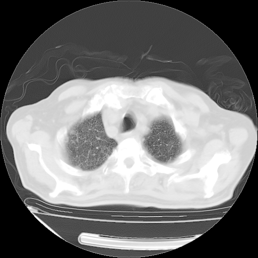
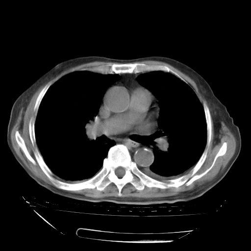
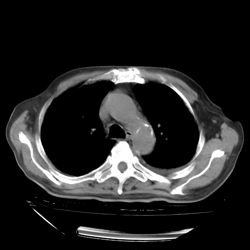
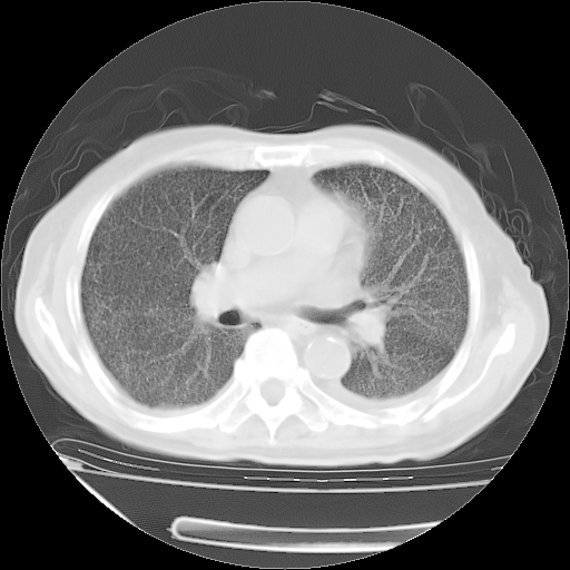
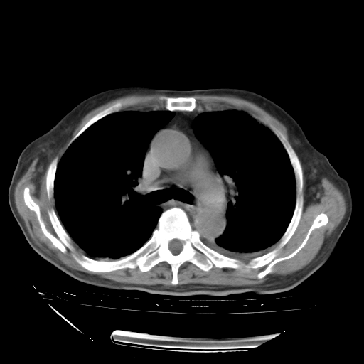
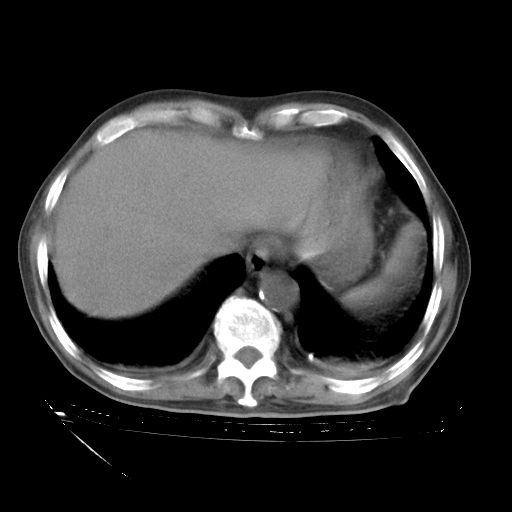
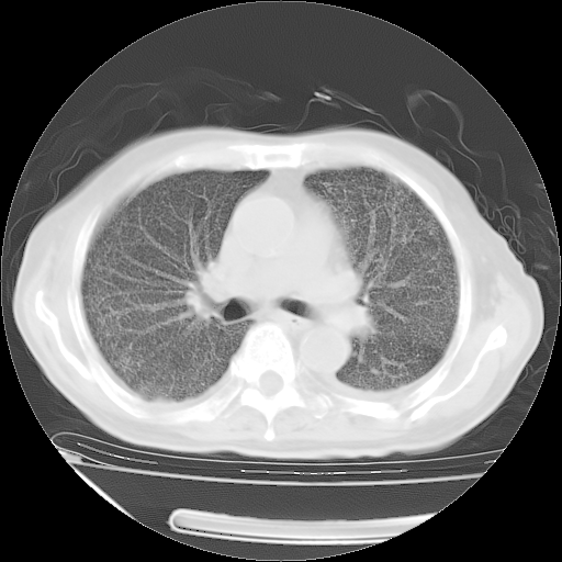
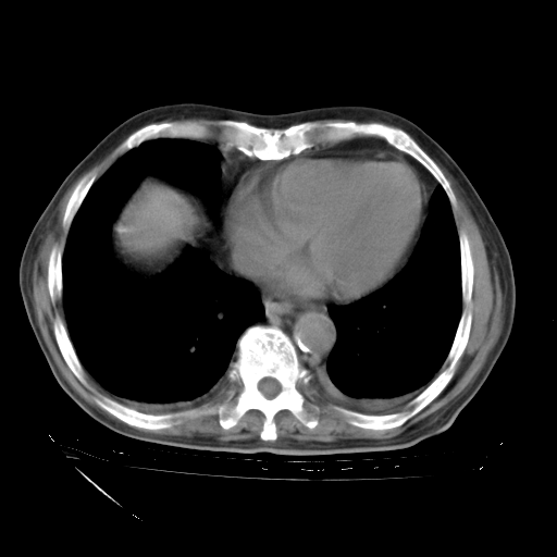
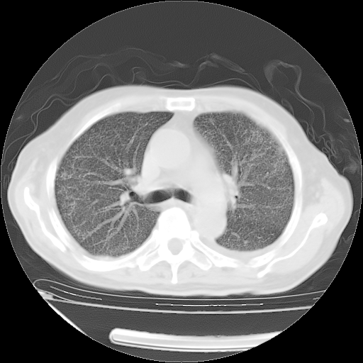
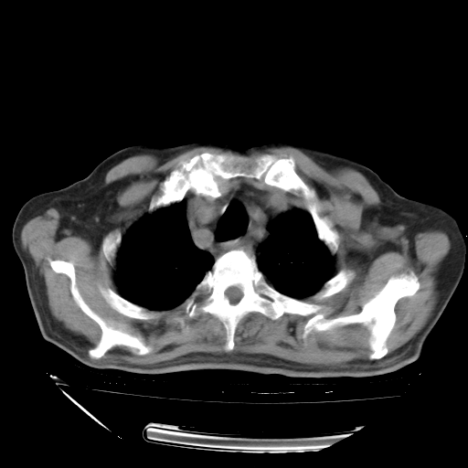
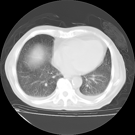
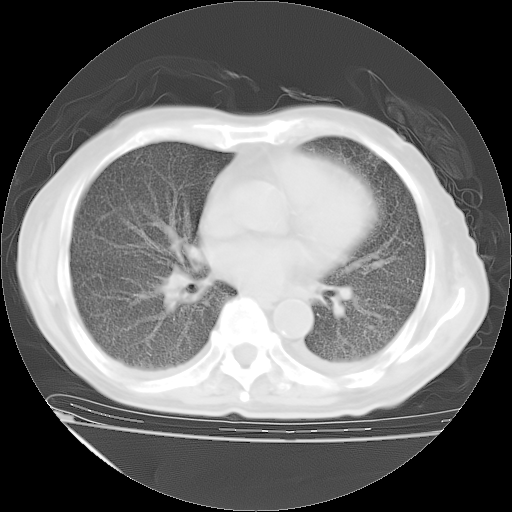
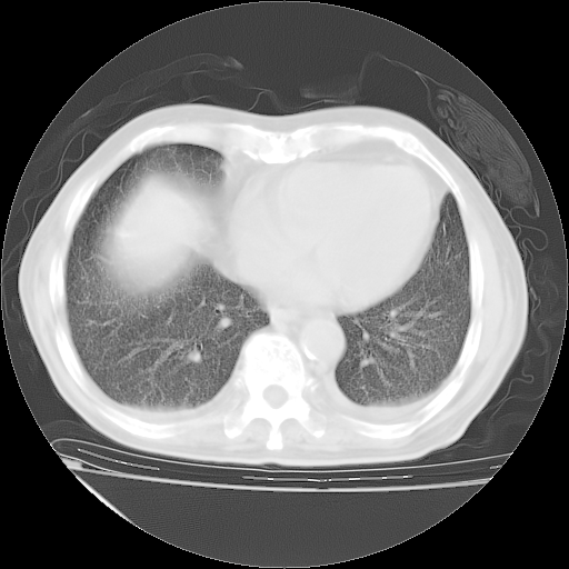
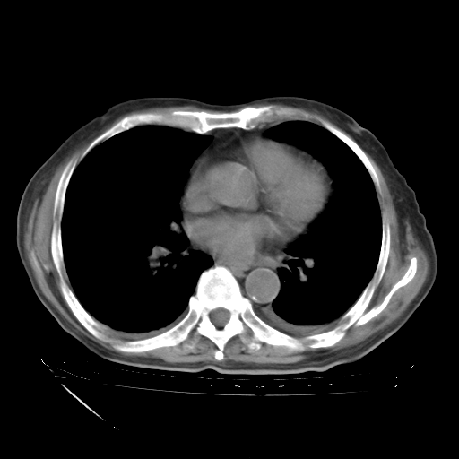
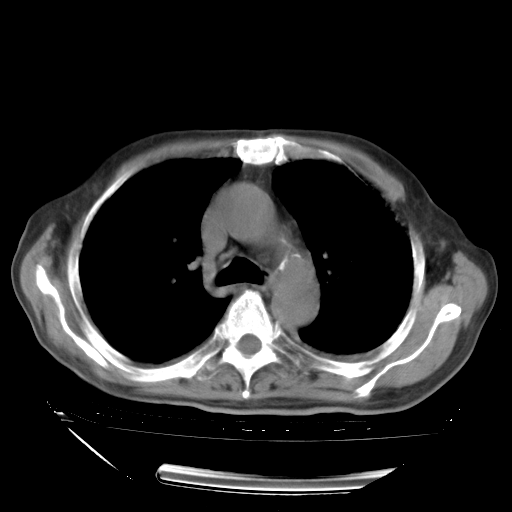
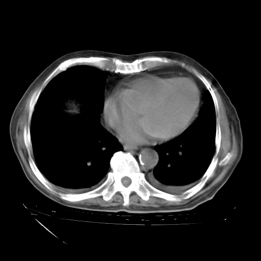
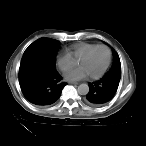
 楼主| 发表于 2009-5-19 21:09 | 显示全部楼层
本帖最后由 gjs661 于 2009-5-19 21:11 编辑

甲强龙80mg/日+抗结核治疗(异烟肼+利福霉素+乙胺丁醇)10天。复查肺部CT。

94186 2 1 .bmp

94186 3 1 .bmp

94186 3 2 .bmp

94186 3 3 .bmp

94186 3 4 .bmp

94186 3 5 .bmp

94186 3 6 .bmp

94186 3 7 .bmp

94186 3 8 .bmp

94186 3 9 .bmp
回复

使用道具 举报

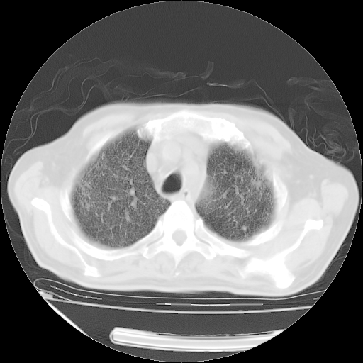
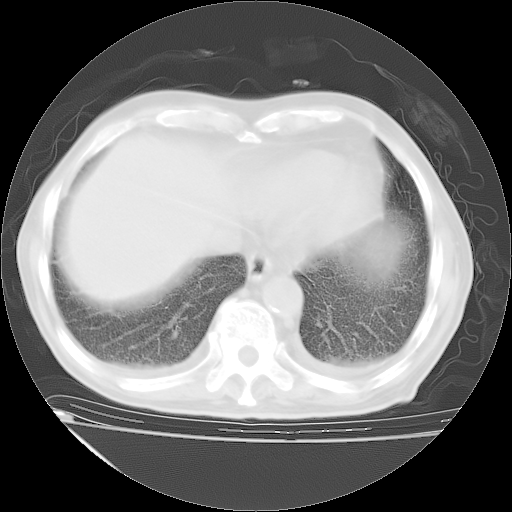
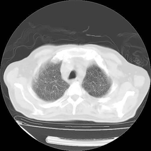
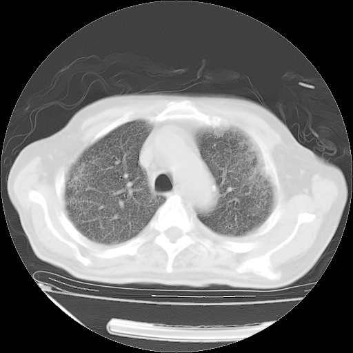
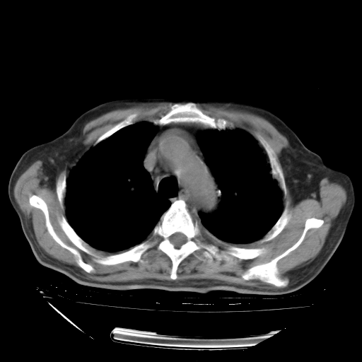
 楼主| 发表于 2009-5-19 21:14 | 显示全部楼层
本帖最后由 gjs661 于 2009-5-19 21:15 编辑

治疗10天肺部CT

94186 3 10.bmp

94186 3 11.bmp

94186 3 12.bmp

94186 3 13.bmp

94186 3 14.bmp

94186 3 15.bmp

94186 3 16.bmp

94186 3 17.bmp

94186 3 18.bmp

94186 3 19.bmp

94186 3 19.bmp
回复

使用道具 举报

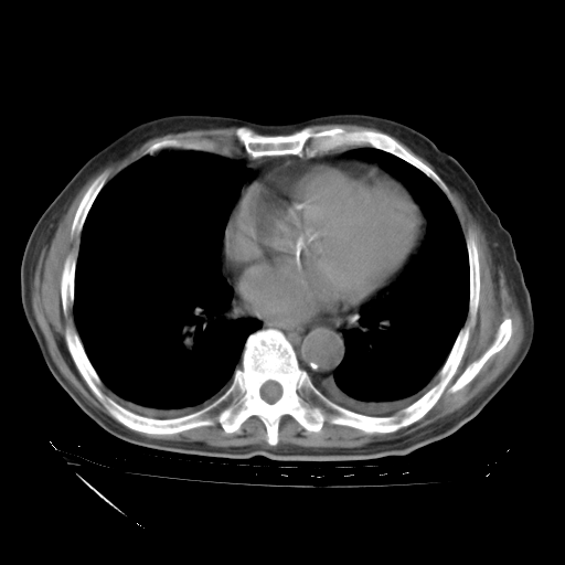
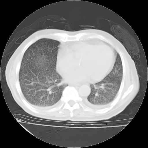
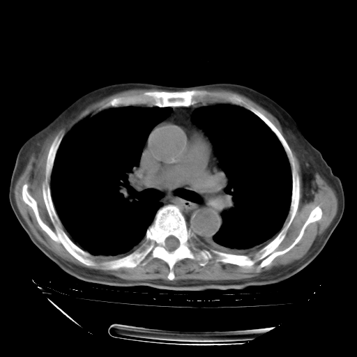
 楼主| 发表于 2009-5-19 21:17 | 显示全部楼层
本帖最后由 gjs661 于 2009-5-19 21:22 编辑

治疗10天肺部CT

94186 3 1 .bmp

94186 3 2 .bmp

94186 3 3 .bmp

94186 3 4 .bmp

94186 3 5 .bmp

94186 3 6 .bmp

94186 3 7 .bmp

94186 3 8 .bmp

94186 3 9 .bmp
回复

使用道具 举报

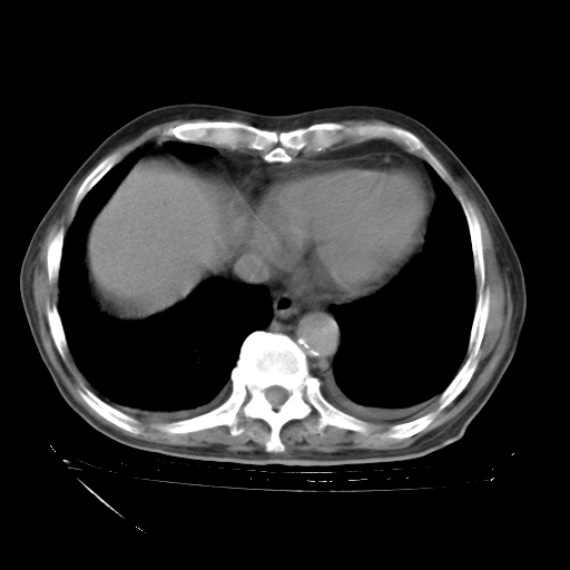
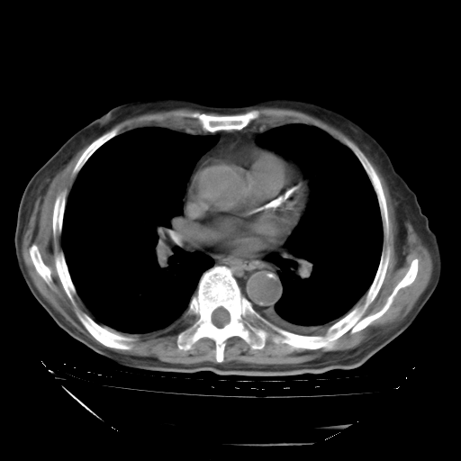
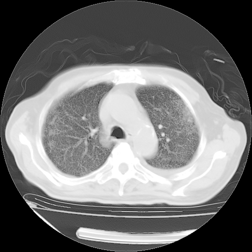
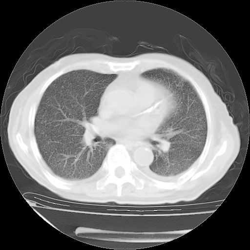
 楼主| 发表于 2009-5-19 21:24 | 显示全部楼层
治疗10天肺部CT

94186 3 10.bmp

94186 3 11.bmp

94186 3 12.bmp

94186 3 13.bmp

94186 3 14.bmp

94186 3 15.bmp

94186 3 16.bmp

94186 3 17.bmp

94186 3 18.bmp

94186 3 19.bmp
回复

使用道具 举报

 楼主| 发表于 2009-6-3 20:41 | 显示全部楼层
本帖最后由 gjs661 于 2009-6-3 21:00 编辑

经过24天治疗,岳父的病情基本稳定。生活基本可以自理,可以下床活动。呼吸困难早已消失。体温基本正常。
只是甲强龙用80mg时血小板升到正常,改为60mg后又降到63×10*9/L。
主要治疗甲强龙80mg×14天,60mg×10天;同时抗结核(异烟肼+利福平+乙胺丁醇)。环磷酰胺0.1 tid 10天。

感谢所有关心、祝福、给出建议的战友们。
特别感谢胡教授、高管、桃子版主给出关键的治疗建议。桃版把所有肺部影像和全部临床资料请所在医院呼吸科、感染病科、结核科、临床免疫科专家会诊。临床免疫科专家制定了完整的治疗方案。
下一步治疗强地松+环磷酰胺+抗结核。
回复

使用道具 举报

发表于 2009-6-3 20:53 | 显示全部楼层
77# gjs661


恭喜渡过难关!斑竹也可喘口气了。:handshake :handshake
回复

使用道具 举报

发表于 2009-6-3 21:41 | 显示全部楼层
77# gjs661
真正的实战演练!厉害!:lol 恭喜!:)
回复

使用道具 举报

发表于 2009-6-4 08:09 | 显示全部楼层
经过24天治疗,岳父的病情基本稳定。生活基本可以自理,可以下床活动。呼吸困难早已消失。体温基本正常。
只是甲强龙用80mg时血小板升到正常,改为60mg后又降到63×10*9/L。
主要治疗甲强龙80mg×14天,60mg×10天; ...
gjs661 发表于 2009-6-3 20:41


很欣慰在大家的建议和支持下,病情基本稳定。愿早日康复!!
回复

使用道具 举报

您需要登录后才可以回帖 登录 | 注册 |

本版积分规则

关闭

站长推荐上一条 /1 下一条

快速回复 返回顶部 返回列表